Dental implants are artificial tooth roots, usually made of titanium, that are placed into the jawbone to replace missing teeth. Once fitted, they provide a strong base for a replacement tooth such as a dental crown. Dental implants are a long-term solution and are designed to look, feel, and function like natural teeth.
Dental implants offer many benefits. Here are some of the main ones:
1.Replace missing teeth permanently – Implants are a fixed solution and can last many years if properly cared for.
2.Prevent bone loss – Implants help keep your jawbone healthy by stimulating it, just like natural tooth roots.
3.Improve appearance – Implants look and feel just like natural teeth, so they help restore your natural smile.
4.Improve comfort and confidence – Unlike dentures, implants don’t move or slip, making speaking and eating easier.
The first step is a consultation with your dentist. They will assess your mouth and jawbone with scans and X-rays to see if you are suitable for implants.
If suitable, the dentist will place a small titanium screw into your jawbone to act as an artificial root. After this, there is a healing period of a few months while the implant fuses with the bone (a process called osseointegration).
Once healing is complete, the dentist will fit a connector (called an abutment) on top of the implant, and finally, a dental crown will be attached to create the appearance of a natural tooth.
Implants are designed to be a permanent solution and are very secure once they have properly fused with the jawbone. However, good oral hygiene and regular dental check-ups are important to keep the surrounding gum and bone healthy.
Once healed, implants feel just like natural teeth. You won’t notice any difference when eating, speaking, or smiling. Most patients quickly forget they even have them.

A dental implant is a small titanium post placed into the jawbone to replace a missing tooth root. It provides a secure foundation for crowns, bridges, or dentures.

Once the implant is fully healed, a custom-made crown is placed on top. This crown looks and functions like a natural tooth, restoring your smile and bite.

If you have several missing teeth, implants can support a dental bridge. This is a secure, permanent solution that feels and looks like natural teeth.

During the healing phase, a small healing cap is used to protect the implant and shape the surrounding gum tissue, preparing the area for the final crown or bridge.

Tooth loss can occur due to decay, trauma, or gum disease. Missing teeth can lead to bone loss and changes in your bite and appearance over time.

After a problematic tooth is removed, the jawbone is left to heal and prepare for a dental implant. This step is essential for the long-term success of the treatment.

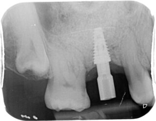
A dental implant, usually made of titanium, is placed into the jawbone. Over time, the implant fuses with the bone to create a solid and stable foundation.

Once healing is complete, a custom-made dental crown is fitted onto the implant. This restores both the function and natural look of the missing tooth.

Tooth loss can occur due to decay, trauma, or gum disease. Missing teeth can lead to bone loss and changes in your bite and appearance over time.

After a problematic tooth is removed, the jawbone is left to heal and prepare for a dental implant. This step is essential for the long-term success of the treatment.

A dental implant, usually made of titanium, is placed into the jawbone. Over time, the implant fuses with the bone to create a solid and stable foundation.

Once healing is complete, a custom-made dental crown is fitted onto the implant. This restores both the function and natural look of the missing tooth.

Tooth loss can occur due to decay, trauma, or gum disease. Missing teeth can lead to bone loss and changes in your bite and appearance over time.

After a problematic tooth is removed, the jawbone is left to heal and prepare for a dental implant. This step is essential for the long-term success of the treatment.

A dental implant, usually made of titanium, is placed into the jawbone. Over time, the implant fuses with the bone to create a solid and stable foundation.


We’re here to stay and don’t plan on going anywhere. We’re committed to looking after the smiles in Harrow.
A well rounded dental team that can cope with a wide variety of general and cosmetic dental treatments.
A range of general and cosmetic treatments including dental implants, invisible braces and dermal fillers.
Patient satisfaction is our priority, we’re committed to keep everyone who visits our practice smiling long-term.